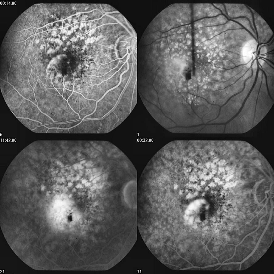
Was ist eine Fluoreszenzangiographie (FLA)? Die Fluoreszein-Angiographie (“Gefäßdarstellung”) dient dazu, Veränderungen am Augenhintergrund und dort insbesondere an den Blutgefäßen festzustellen. Viele dieser Veränderungen sind auch unter dem Mikroskop nicht ausreichend gut zusehen, so dass erst die Angiographie-Bilder Sicherheit in der Diagnosestellung und Therapie geben. (Wie beim Eisberg verbirgt sich häufig der größte Brocken unsichtbar in der Tiefe)
|
 |

Augenhintergrund-Fotografie
|
Was passiert bei der Untersuchung? Diese Untersuchung ist bis auf die Anwendung einer Venenverweilkanüle (wie beim Blutabnehmen) völlig schmerzfrei und besteht im Wesentlichen aus einer besonderen Form einer Augenhintergrundsfotografie. Für ein gutes Ergebnis der Untersuchung wird eine sehr gute Pupillenerweiterung benötigt – das kann häufig längere Zeit beanspruchen als für eine schon gewohnte Augenhintergrund - Untersuchung bei Ihrem Augenarzt. Bitte richten Sie sich, aufgrund der aufwändigen Untersuchung, auf eine Aufenthaltsdauer in unserer Praxis von ca. 2 Stunden ein. Ihnen wird während der Untersuchung ein wässriges Fluoreszenzmittel in die Armvene gespritzt, das mit einer Spezialkamera Undichtigkeiten im Blutgefäßsystem aufdeckt. Vergleichen Sie es mit einem Fahrradfahrer der einen „Platten“ hat und das unsichtbare Loch in seinem Schlauch finden will: ohne die Zuhilfenahme eines Eimer Wasser, in den er den Schlauch hält, sieht er die Luft nicht entweichen, die ihm das Leck zeigt.
Worauf sollen Sie achten? Sie müssen zu dieser Behandlung nicht nüchtern sein. Falls Sie Diabetiker(in) sind, nehmen Sie vorher eine kleine Mahlzeit zu sich. Da Ihre Pupille erweitert wird, sollten Sie nicht mit eigenem Fahrzeug kommen – sie gelten bis ca. 2 Stunden nach der Untersuchung als nicht fahrtauglich. Der Farbstoff wird mit dem Urin wieder ausgeschieden, Sie werden beim Wasserlassen feststellen, dass dieser intensiv gelber ist als sonst. Das ist ebenso normal wie die vorübergehend auftretende „Urlaubsbräune“ der Haut für etwa 2 -3 Stunden. Vor der Untersuchung werden wir das Vorgehen und Ihre eventuellen Fragen gerne eingehend besprechen.
Gibt es Nebenwirkungen? ja sehr selten. Z.B. kann von empfindlichen Personen (ca. 1%) ein Brennen im Bereich der Speiseröhre empfunden werden, das aber nur wenige Sekunden andauert. Zu dem dann empfundenen Brechreiz oder Erbrechen kommt es so gut wie nie. Wen man dies schon einmal erlebt hat können vorher verabreichte Medikamente diese Empfindungen verhindern. Dennoch überwacht ein erfahrener Anästesist unsere Patienten während der gesamten Zeit.
|
 |

Fluoreszenzangiogramm: die krankhafte weiße Gefäss-Veränderung ist auf dem Bild oben nicht sichtbar
|